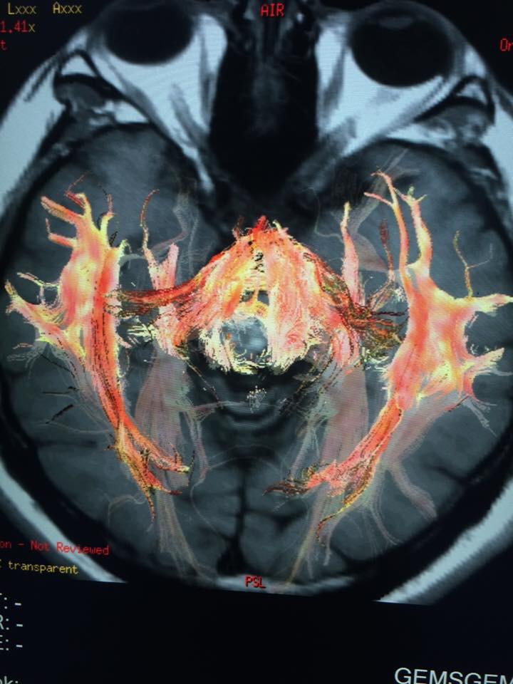
Neurostimolazione e neuromodulazione al servizio della neurologia, psichiatria e neuropsicologia nel Centro Calabrese

Contenuto protetto da copyright © Corriere Salentino - Tutti i diritti riservati.